#

Trauma surgery (Nailing, Plating)

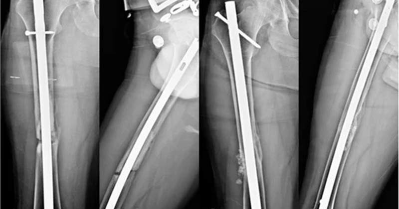
Trauma surgery involving nailing and plating is a crucial aspect of orthopedic care used to treat fractures resulting from accidents, falls, sports injuries, or high-impact trauma. These surgical techniques aim to stabilize broken bones, restore anatomical alignment, and promote proper healing. The choice between nailing and plating depends on the type, location, and severity of the fracture, as well as the patient’s overall condition.

Intramedullary nailing involves inserting a metal rod into the central canal of a long bone, such as the femur, tibia, or humerus. This rod spans the length of the fracture and is secured with locking screws at both ends to maintain stability. Nailing is particularly effective for shaft fractures, as it provides strong internal support while allowing early weight-bearing and faster rehabilitation. Because the implant is placed inside the bone, it preserves surrounding soft tissues and blood supply, promoting efficient healing.

Plating, on the other hand, involves attaching a metal plate along the surface of the fractured bone using screws. This method is commonly used for fractures near joints or in areas where precise anatomical reconstruction is required, such as the wrist, ankle, or clavicle. Plating allows direct visualization of the fracture, enabling accurate alignment and fixation. Modern locking plates provide enhanced stability, especially in osteoporotic or comminuted fractures.

Postoperative care is essential for successful outcomes in trauma surgery. Early mobilization, pain management, and physiotherapy help restore strength and function while minimizing complications such as stiffness or muscle wasting. Although risks such as infection, delayed union, or implant failure exist, advances in surgical techniques and implant design have significantly improved safety and recovery. Overall, trauma surgery using nailing and plating plays a vital role in restoring mobility, function, and quality of life for patients with fractures.